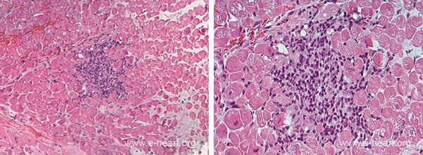
Acute Cellular Rejection - Grade 1R


These images show one focus of mononuclear cells with associated myocyte damage or with replacement of myocytes (dropout). These type of lesions were classified as Grade 2 in the old working formulation. But in the new classification, if only one of these lesions is found in the biopsy they are classified as Grade 1R. H&E.
When more than one of these lesions is found in a biopsy then the rejection episode is classified as Grade 2R and examples of this can be seen here.

